Cat. #162385
KrasG12D.Tgfbr2−/− murine lung cancer cell line
Cat. #: 162385
Organism: Mouse
Tissue: Lung
Disease: Cancer
£575.00
This fee is applicable only for non-profit organisations. If you are a for-profit organisation or a researcher working on commercially-sponsored academic research, you will need to contact our licensing team for a commercial use license.
Contributor
Inventor: Stephen Malkoski
Institute: The University of Colorado Anschutz Medical Campus
Primary Citation: Nolan et al. 2020. Cancer Cell Int. 28: 20:417. PMID: 32874131
Tool Details
*FOR RESEARCH USE ONLY (for other uses, please contact the licensing team)
- Name: KrasG12D.Tgfbr2−/− murine lung cancer cell line
- Alternate name: KrasG12D.Tgfbr2−/− cell line; X911 cell line
- Cancer type: Lung cancer
- Research fields: Cancer biology; Immunotherapy
- Organism: Mouse
- Gender: Male
- Tissue: Lung
- Disease: Cancer
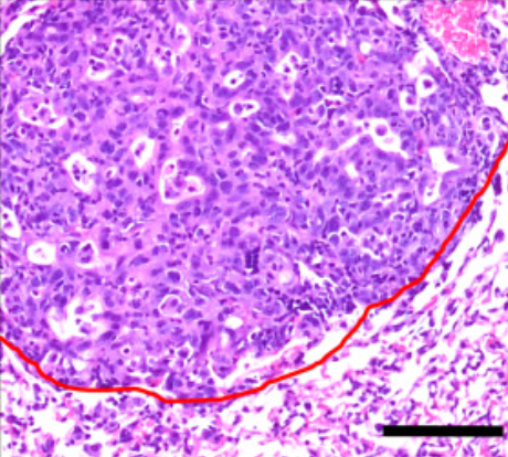
- Description: A novel syngeneic KrasG12D.Tgfbr2-/- murine lung cancer cell line (X911) with orthotopic growth potential, that can serve as a useful preclinical model for evaluating tumour-host interactions, the impact of specific oncogenic alterations on the tumor microenvironment, and immunotherapeutic approaches. This cell line was derived from the primary lung tumour of a KrasLSL-G12D/+.Tgfbr2fl/fl male C57BL/6 mouse and is capable of forming orthotopic tumours in immunocompetent C57BL/6 mice. X911 cells demonstrate genetic recombination at the Kras and Tgfbr2 loci as shown by PCR, and express KRASG12D but not TGFBR2, as shown by western analysis.
- Application: 2D cell culture; Immunohistochemistry (IHC); Cell line-derived xenograft (CDX) model development
- Production details: A 6 week old KrasLSL-G12D/+.Tgfbr2fl/fl male mouse was injected with 2 µl of 10^10 PFU/ml Ad5-SPC-Cre into the left lung. When this animal was euthanized 29 week later, a 9 mm primary tumor was passaged into a male recipient. After two passages through recipient animals (one of which included a lung tumor), the KrasG12D.Tgfbr2-/- cell line (X911) was established that was capable of forming orthotopic tumors in immunocompetent C57BL/6 animals.
- Biosafety level: 1
Applications
- Application: 2D cell culture; Immunohistochemistry (IHC); Cell line-derived xenograft (CDX) model development
Handling
- Format: Frozen
- Growth medium: Dulbecco's Modified Eagle Medium (DMEM) containing 4.5 g/l d-glucose, l-glutamine, and sodium pyruvate, supplemented with 10% (v/v) fetal bovine serum and 100 μg/ml of primocin (optional)
- Temperature: 37°C
- Atmosphere: 5% CO2
- Shipping conditions: Dry ice
- Storage conditions: Liquid Nitrogen
- Subculture routine: Split 90% confluent cultures 1:5 to 1:15 as required. Cells are cultured at 37°C, in a humidified incubator with 5% CO2.
- Cultured in antibiotics: Primocin (optional)
References
- Nolan et al. 2020. Cancer Cell Int. 28: 20:417. PMID: 32874131




